Volumetric image dataset can shown as single slices or as a slab in which the maximum, minimum, or average values within a slab thickness are displayed. These types of images can improve interpretation accuracy and decrease review time.
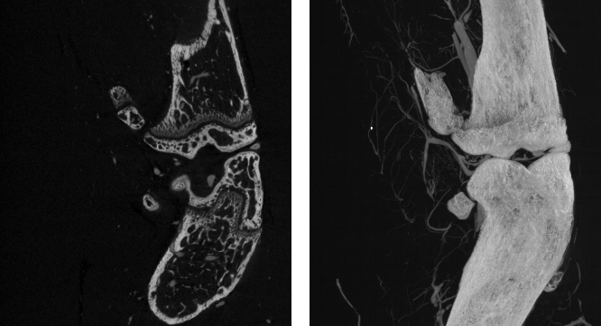
Slice view (on left) and MIP (on right)
| Description | |
|---|---|
|
MIP |
Maximum intensity projection… Displays data using only the highest values for each voxel of the volume and the thickness value for slice integration. |
|
mIP |
Minimum intensity projection… Displays data using only the lowest values for each voxel of the volume and the thickness value for slice integration. This slab mode is particularly useful when looking at air or fluid in mini-slabs. |
|
Average |
Average intensity projection… Displays data using the average values for all voxels in the volume and the thickness value for slice integration. This setting can be useful for viewing projections of noisy images, or for simulating a slice thickness other than what was scanned. |
You can adjust the window leveling values of intensity projections, as well as use Walk mode or the 3D cursor to create oblique views of slabs.

The view appears in the selected slab mode in the default slab thickness.


NOTE Whenever you generate an image that is made from a mini-slab cut from the data, such as a maximum intensity projection (MIP), you can scroll through the whole dataset or set the Cine increment to Half slab or Full slab. These settings are available in the 2D Settings preferences (see Selecting the 2D Settings Preferences).